
Protesi e implantologia
Ripristina salute e funzionalità della tua bocca
La mancanza di un solo dente, sia molare che anteriore, può causare nel tempo disagi alla masticazione e deglutizione, compromettendo la salute di tutta la bocca.
Siamo qui per aiutarti a ripristinare il tuo benessere.
Trattamenti di protesi e implantologia
Diverse cure per diverse esigenze
Capsula singola
su impianto
Sostituiamo la radice mancante con un supporto nell'osso a cui fissiamo una capsula per ripristinare il dente.
Ponte
dentale
Se i denti naturali sono sani, possiamo collegarli con capsule per una soluzione resistente ed esteticamente piacevole.
Protesi
mobili
Leggere e discrete, in resina o nylon, queste protesi sono una scelta comoda e versatile, perfetta anche come soluzione temporanea.
Implantologia avanzata
Soluzione rapida anche per i casi più complessi
Per i casi di edentulia, quando manca una parte o tutta la dentatura e si mastica con le gengive, possiamo aiutarti con la All-on-Four.
Nel caso in cui una arcata sia completamente priva di denti, se la struttura ossea residua lo consente, con l’inserimento di minimo quattro impianti si può realizzare una protesi completa di tutti i denti a Carico immediato, ovvero All-on-Four.
Questo significa che, dopo l’intervento di inserimento delle viti implantari, si posiziona la protesi avvitata agli impianti nell’arco di pochi giorni dall’intervento.
Riavrai una dentatura completa e funzionante in pochi giorni.




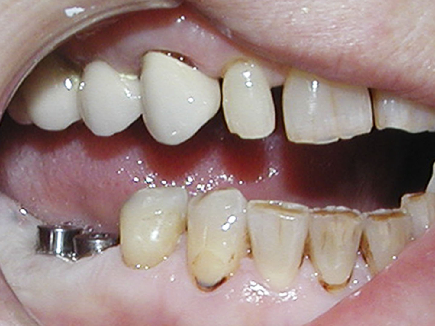
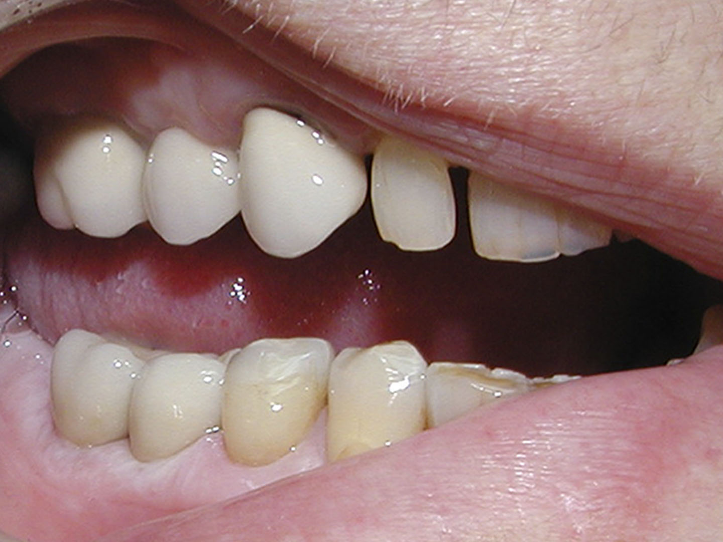
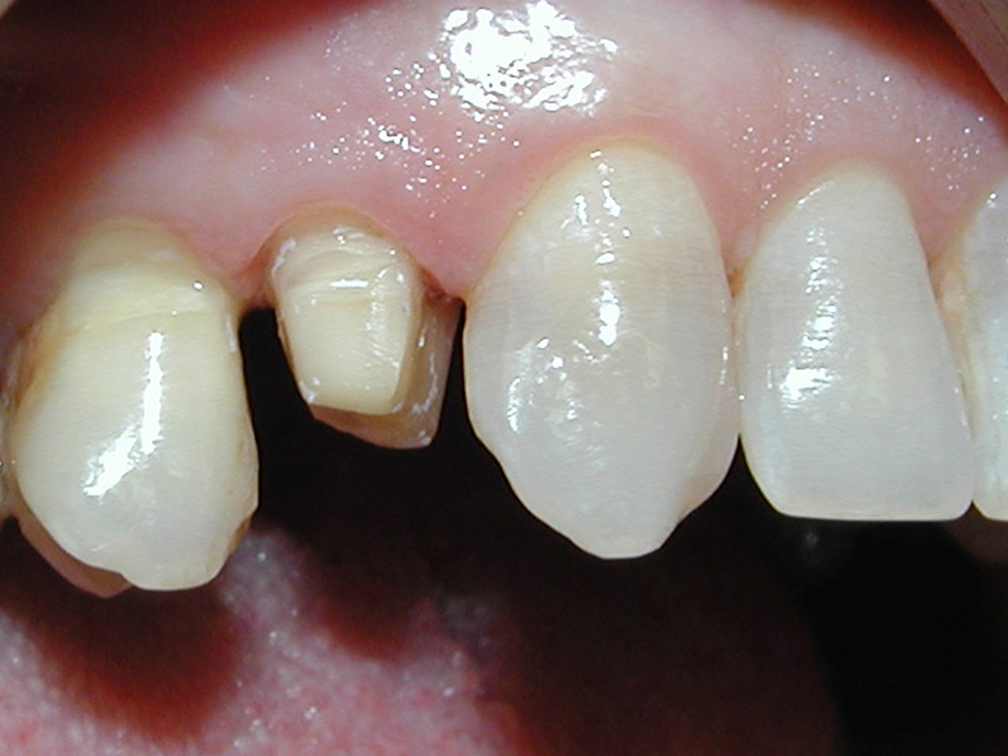
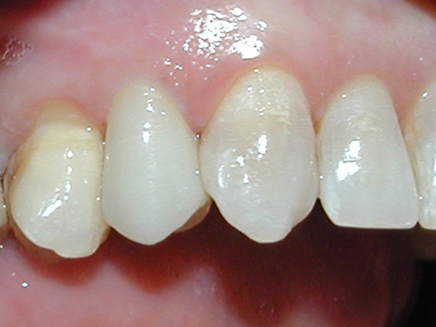
Prima e dopo il trattamento
Nuovi sorrisi per i nostri pazienti
Attraverso le nostre cure, siamo in grado di restituire sorrisi sani e belli, con un risultato estetico-funzionale di altissimo livello.
FAQ
Rispondiamo alle tue domande
Perché è importante sostituire un dente mancante?
La mancanza di un dente, che sia un molare o un dente anteriore, può nel tempo ridurre la capacità di masticazione e deglutizione, compromettendo la salute generale della bocca.
Sostituire il dente mancante aiuta a prevenire ulteriori complicazioni.
Quali sono le opzioni per ripristinare la dentatura?
Le opzioni includono capsule su impianto endosseo o su denti naturali con ponti, per un ripristino estetico e funzionale.
In alternativa, si possono utilizzare protesi mobili, parziali o totali, che sono leggere, mimetiche e offrono un risultato di altissimo livello.
Cosa sono le protesi mobili e quali sono i loro vantaggi?
Le protesi mobili sono dispositivi in resina o nylon che sostituiscono i denti mancanti.
Offrono un’elevata resa estetica e funzionale, senza limiti di età, richiedono interventi minimi e sono più economiche rispetto all’implantologia multipla.
Cosa si intende per edentulia e come può essere trattata?
L’edentulia si verifica quando mancano tutti i denti e si mastica con le gengive.
In questi casi, possiamo utilizzare la tecnica All-on-Four, che prevede l’inserimento di quattro impianti per supportare una protesi fissa, restituendo una dentatura completa in pochi giorni.
Quanto tempo richiede un intervento di implantologia?
Un intervento di implantologia, come l’All-on-Four, può essere completato in pochi giorni, a seconda delle condizioni della base ossea valutate tramite una Tac DentalScan.
Questo approccio rapido consente di ripristinare la funzione masticatoria e il sorriso in tempi brevi.
La protesi mobile può essere una soluzione temporanea?
Sì, le protesi mobili possono essere utilizzate come struttura provvisoria durante la fase di guarigione degli impianti, prima di finalizzare il trattamento con le capsule definitive.
