
Ortodonzia a Bellaria
Raddrizza il tuo sorriso
L’ortodonzia non riguarda solo il raddrizzamento dei denti storti.
È un trattamento che beneficia tutti, dai bambini agli adulti, che aiuta migliorare non solo l’aspetto del sorriso, ma anche la funzionalità della bocca.
I benefici dell'ortodonzia
Una soluzione per ogni età
Bambini
Può correggere problemi come la chiusura scorretta della bocca, la respirazione a bocca aperta e abitudini come succhiare il dito, favorendo uno sviluppo dentale sano.
Adolescenti
Migliora l'autostima e l’immagine del sé, particolarmente importante in fase scolastica e sociale.
Adulti
Corregge l'allineamento dei denti per chi ha subito spostamenti, perdita di un dente, alterazioni della lingua o non ha mai fatto trattamenti, oltre che per casi di malocclusioni gravi, offrendo eccellenti risultati estetici e funzionali.
Trattamenti di ortodonzia
Soluzioni innovative per un sorriso perfetto
Mascherine trasparenti
Soluzioni estetiche prive di metallo, ideali per una correzione discreta e confortevole, che migliora l'aspetto senza compromettere il tuo comfort.
Apparecchi fissi
Assicurano notevoli miglioramenti per i casi complessi sia nell’aspetto che nella funzionalità, sebbene possano richiedere alcuni anni.
Il nostro approccio
Rimedi ortodontici su misura per te
A seconda dell’età, della malocclusione (scheletrica, dentale o mista), e delle disfunzioni muscolari, possiamo scegliere tra vari dispositivi ortodontici, sia fissi che mobili per rispondere alle tue esigenze specifiche.
Una visita odontoiatrica è essenziale per creare un piano personalizzato. Esamineremo radiografie e modelli in gesso per offrirti un piano dettagliato con modalità, costi e tempistiche.
















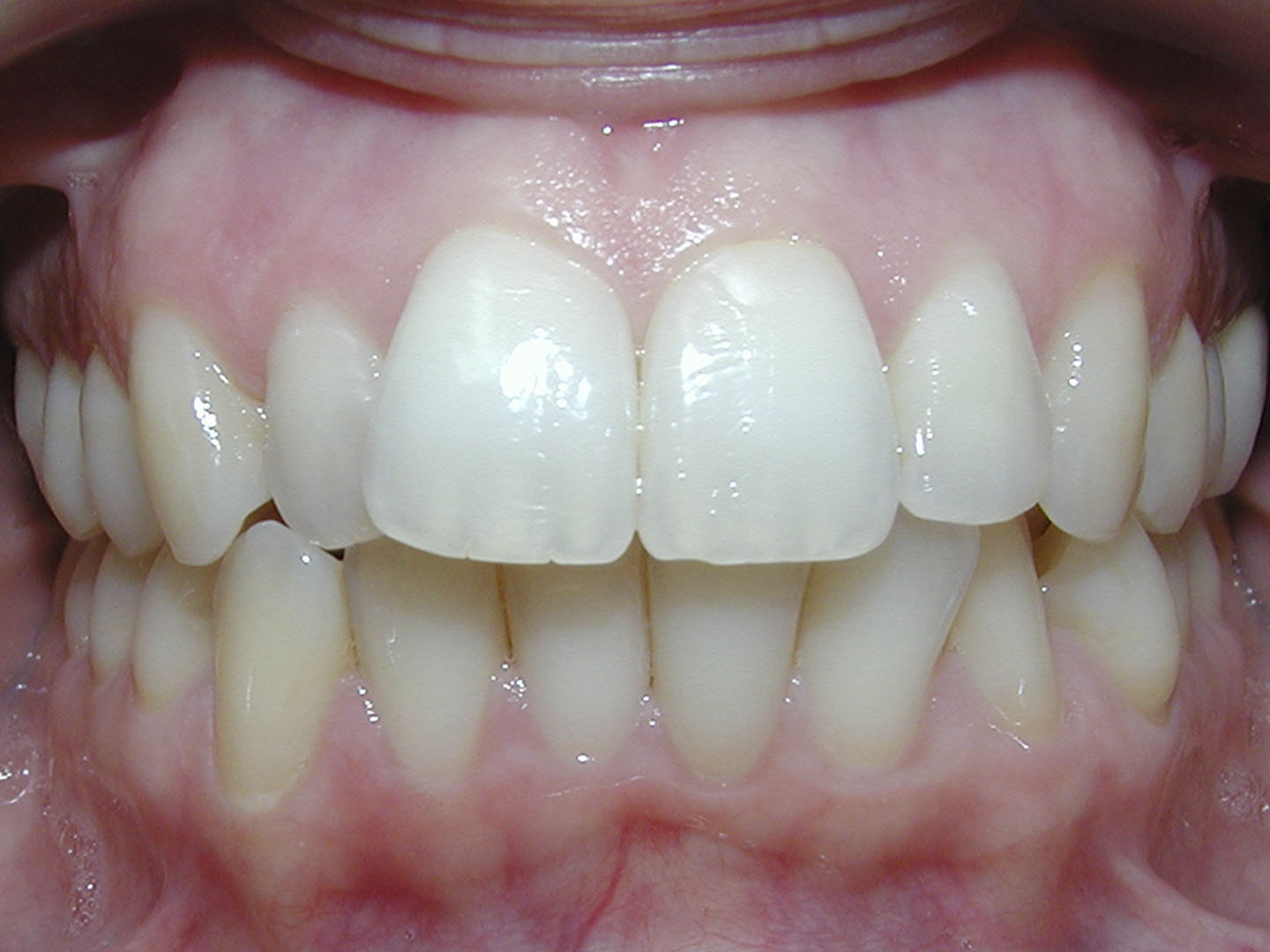
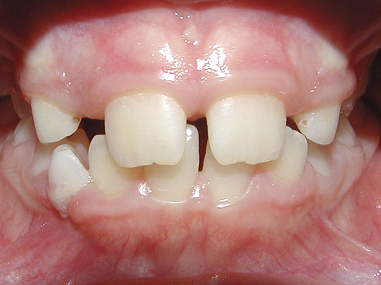
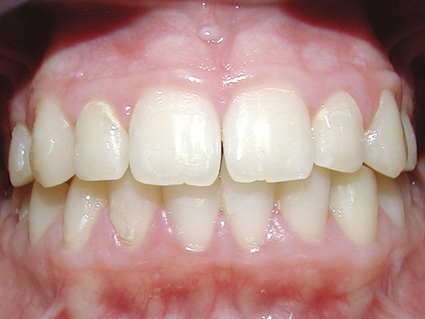
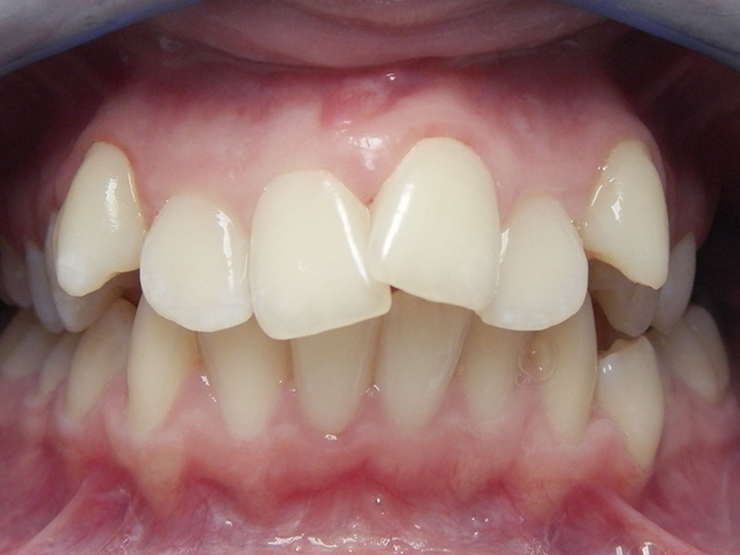
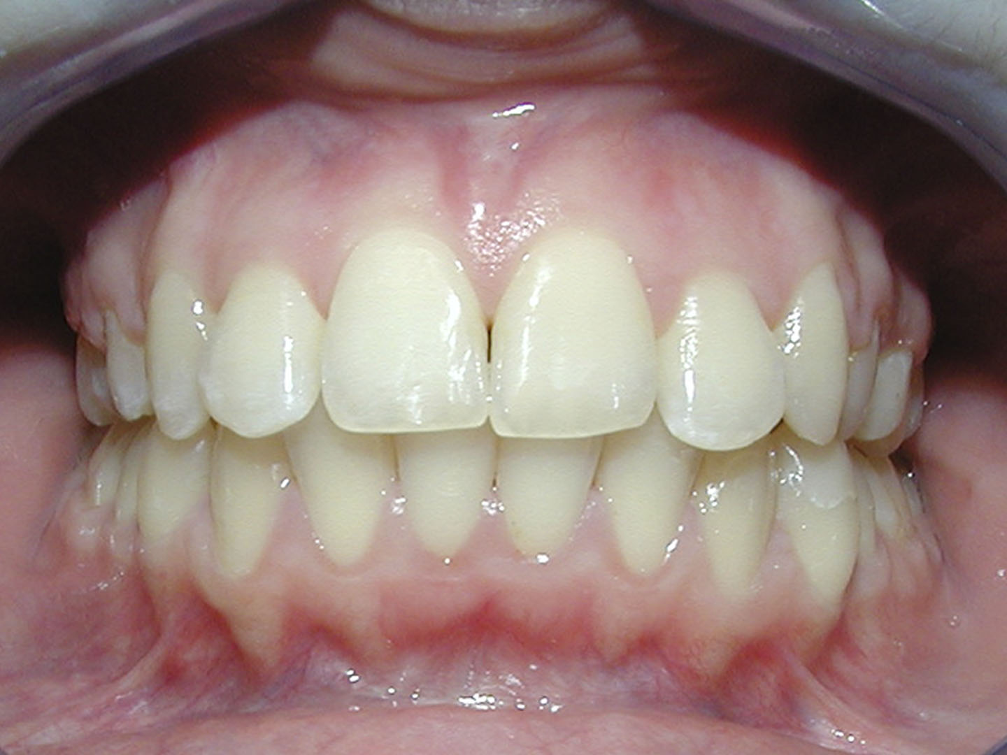
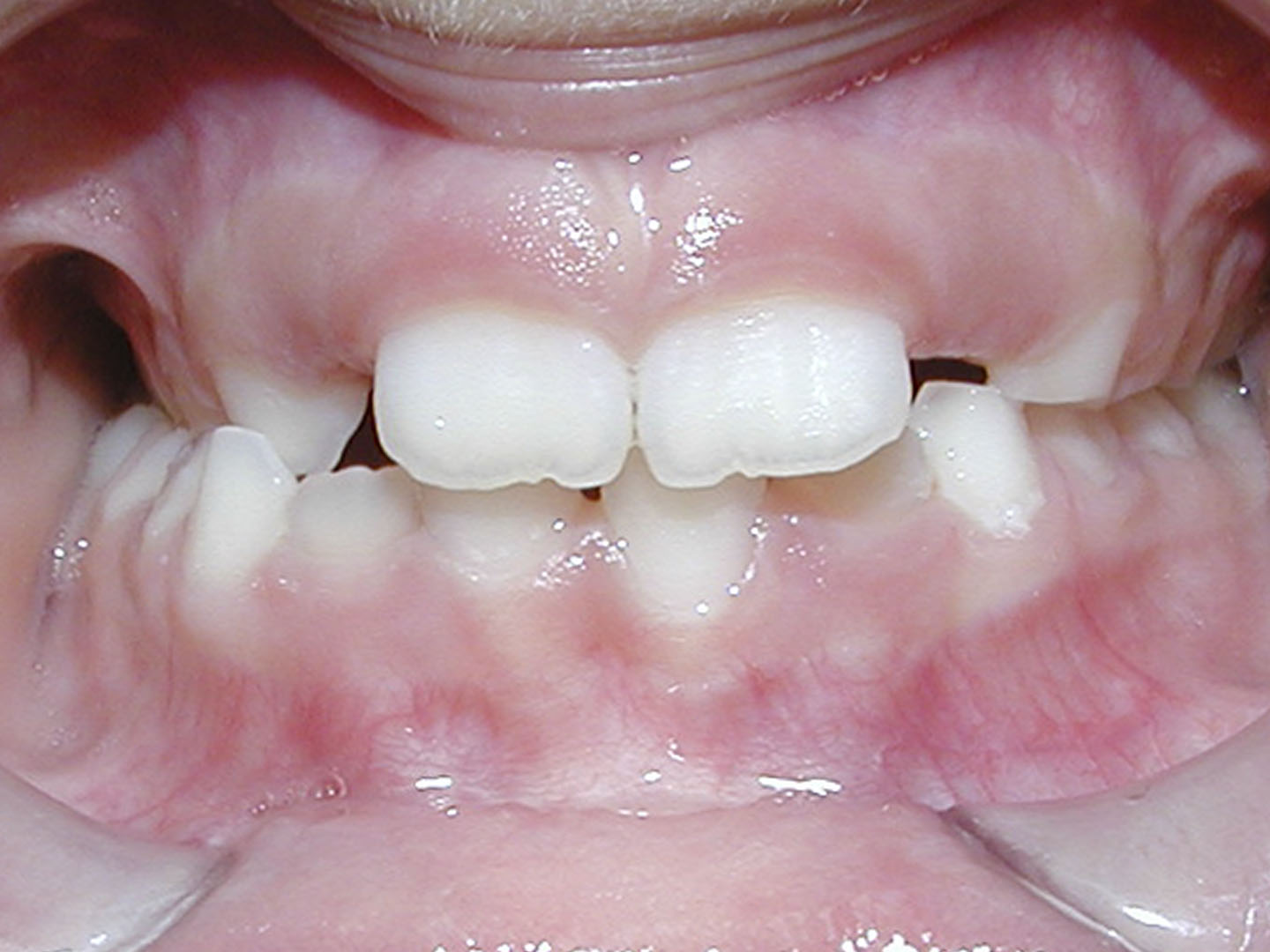
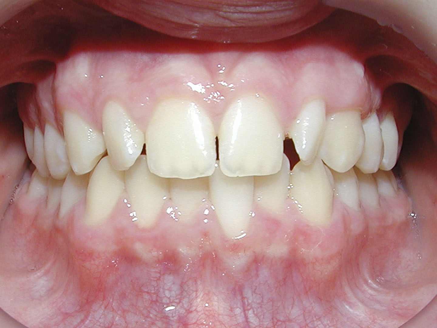
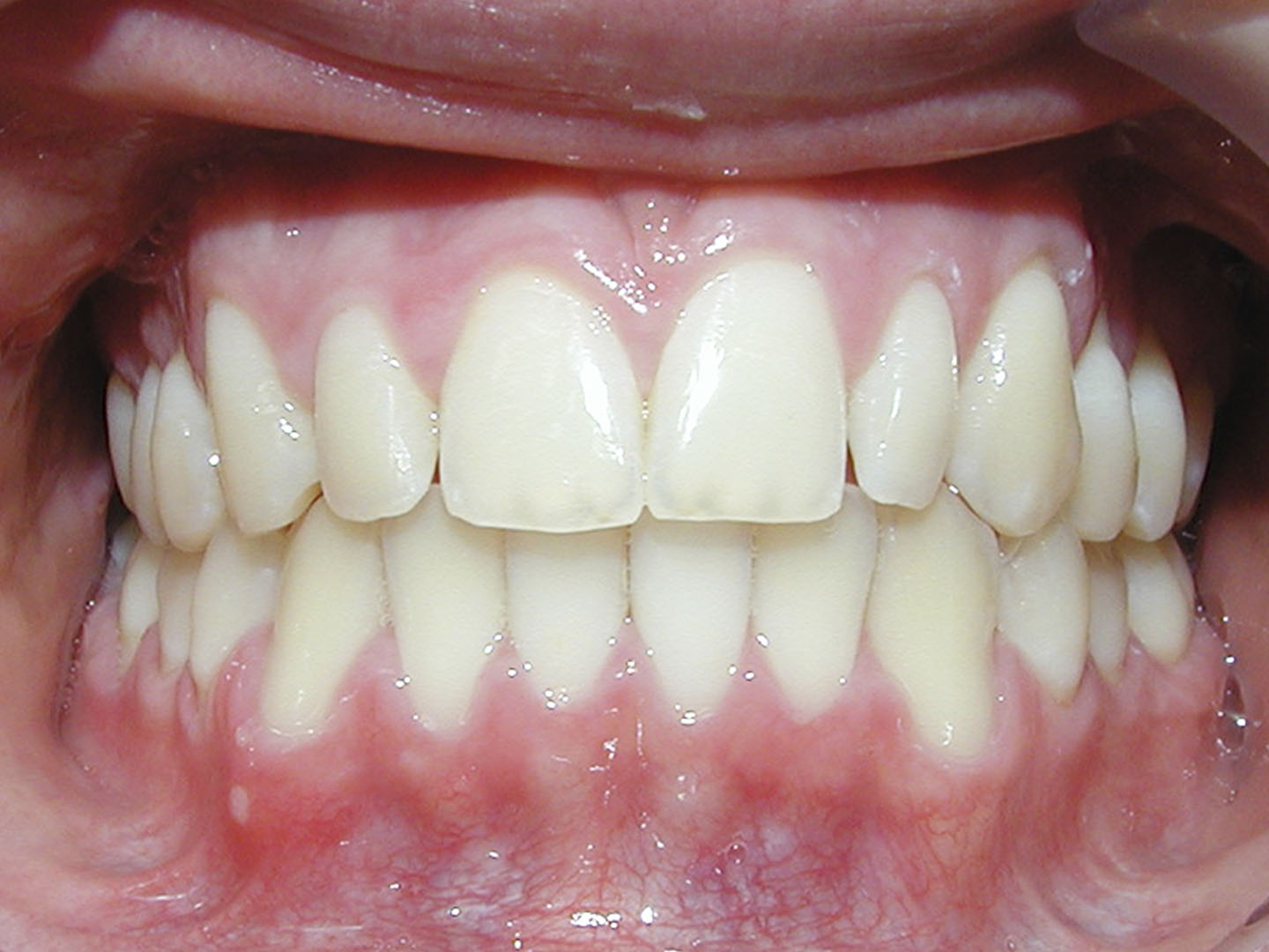
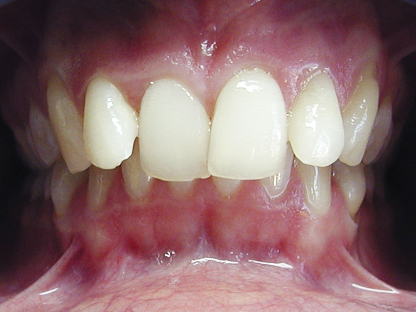
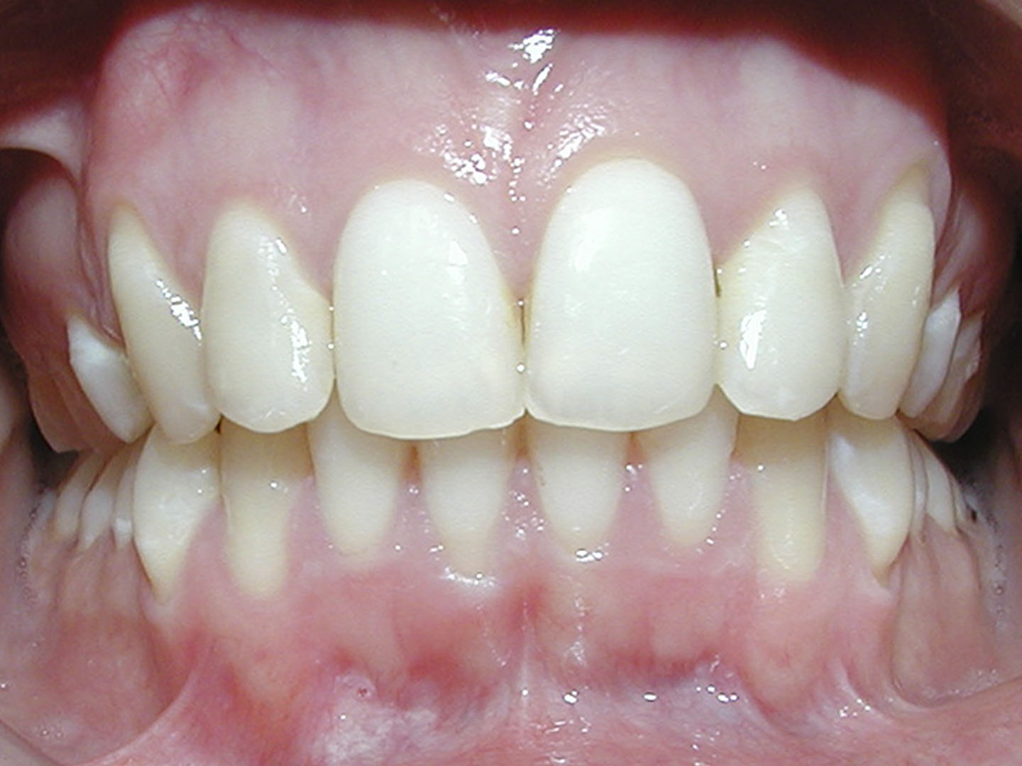
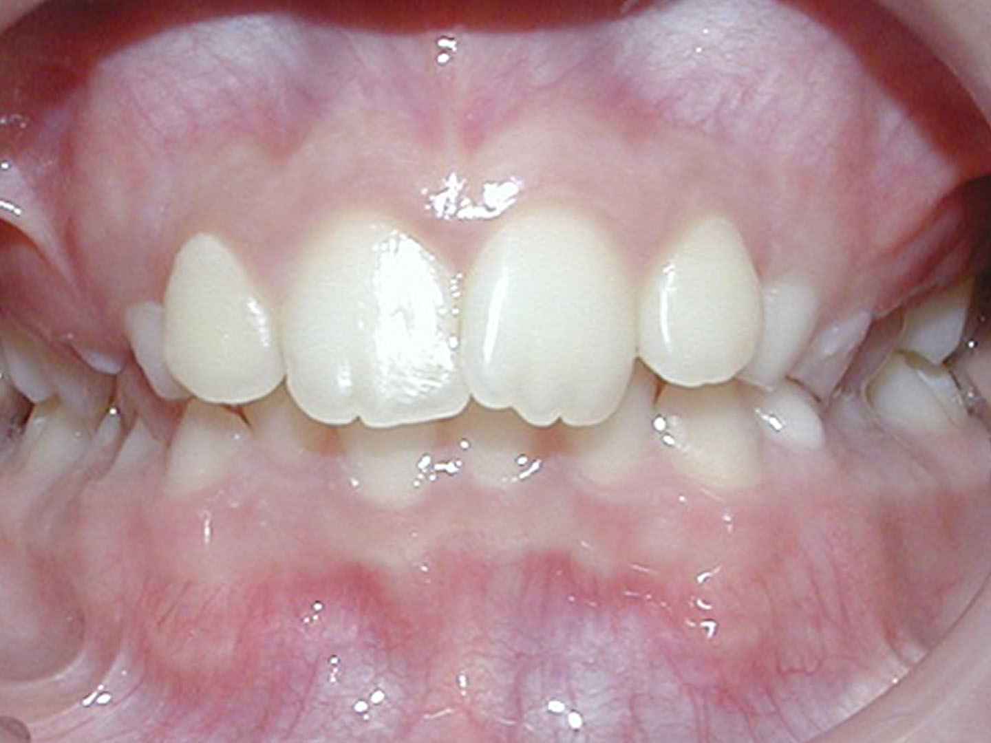
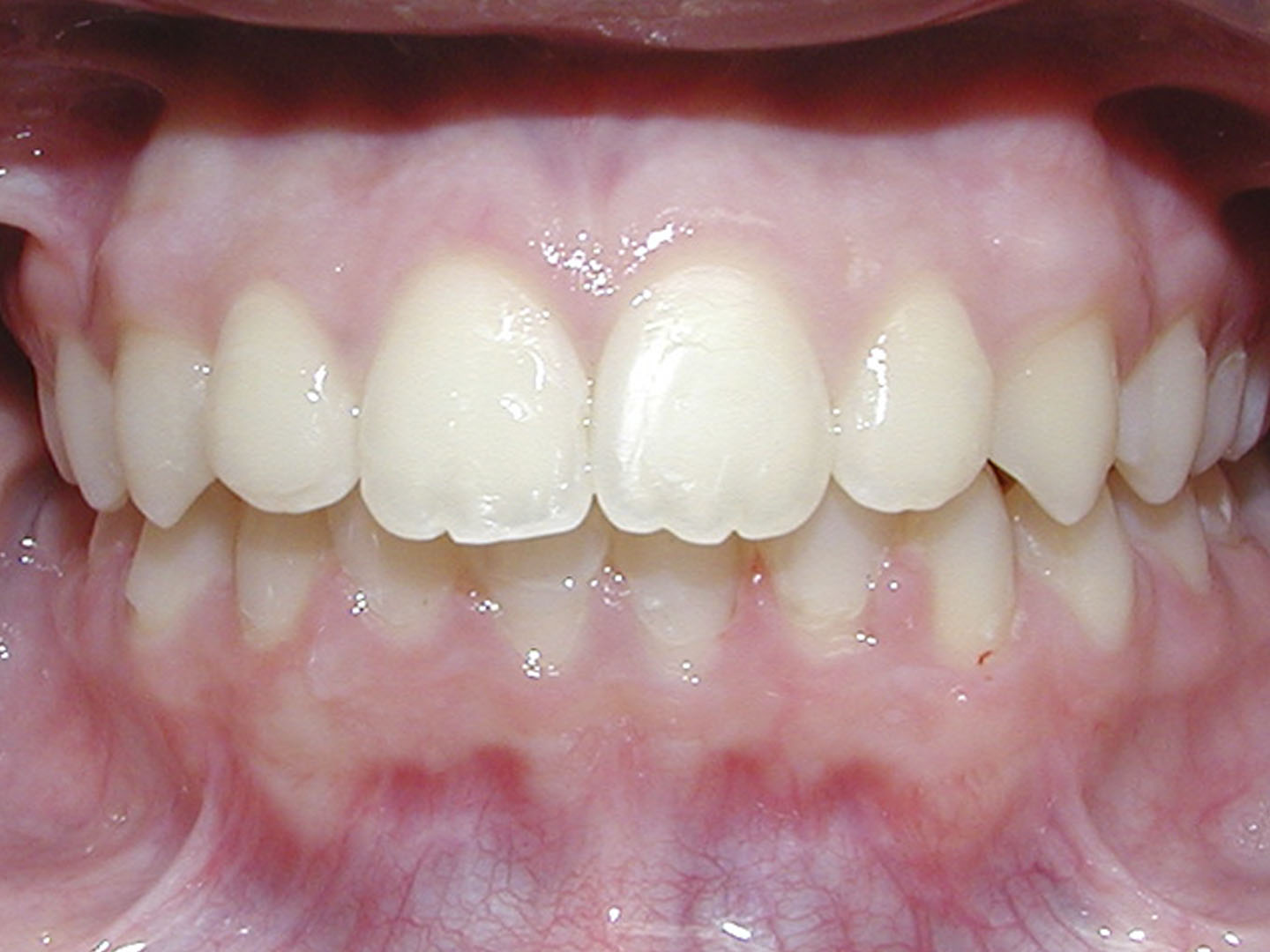
Prima e dopo il trattamento
I sorrisi ritrovati dei nostri pazienti
Le nostre soluzioni ortodontiche personalizzate possono trasformare il tuo sorriso, allineando i denti in modo uniforme e armonioso.
FAQ
Rispondiamo alle tue domande
Quanto dura un trattamento ortodontico?
La durata varia in base alla complessità del caso.
Per alcuni, può essere solo pochi mesi, mentre per altri potrebbe richiedere uno o più anni.
Le mascherine trasparenti sono efficaci?
Sì, sono molto efficaci per casi di allineamento moderato e sono una soluzione discreta e confortevole.
Gli apparecchi fissi sono dolorosi?
Possono causare un lieve disagio all’inizio, ma la maggior parte dei pazienti si abitua rapidamente.
Il nostro team sarà sempre disponibile per supportarti durante tutto il trattamento.
Chi può beneficiare dell’ortodonzia?
L’ortodonzia è utile a tutte le età.
Che tu sia un bambino, un adolescente o un adulto, possiamo trovare una soluzione adatta alle tue esigenze.
