
Cure per carie e mal di denti a Bellaria
Proteggiti dal mal di denti
Oggi, abitudini alimentari scorrette, un ritmo di vita frenetico e una pulizia dentale incompleta possono mettere a rischio la salute dei denti.
Siamo qui per offrirti cure tempestive per prevenire il mal di denti e supportarti con consigli su misura e trattamenti specifici per le carie.
Trattamenti per la cura delle carie
Evitiamo che un fastidio diventi un problema
Igiene orale
preventiva
La prevenzione è essenziale per evitare il mal di denti. Con controlli regolari e consigli personalizzati, puoi mantenere la tua bocca in salute e prevenire problemi futuri.
Piccole
carie
Se la carie è in fase iniziale, pianifichiamo appuntamenti mensili in cui sanare le aree interessate della bocca senza pesare troppo sul tuo tempo o budget.
Carie
avanzate
Se la carie è già avanzata e provoca dolore, interveniamo con trattamenti endodontici e ricostruzioni in più sedute per preservare il dente e ripristinarne la funzionalità.

Il nostro approccio contro le carie
Riconoscere e affrontare il dolore
I sintomi delle carie
La carie è progressiva e può provocare dolore durante la masticazione, fastidio persistente, gonfiore, emicranie e problemi neurologici, riducendo la masticazione, l’igiene orale e la qualità della vita.
Se la carie è avanzata, il dolore può diventare intenso e fastidioso.
Il nostro approccio contro le carie
Riconoscere e affrontare il dolore
I sintomi delle carie
La carie è progressiva e può provocare dolore durante la masticazione, fastidio persistente, gonfiore, emicranie e problemi neurologici, riducendo la masticazione, l’igiene orale e la qualità della vita.
Se la carie è avanzata, il dolore può diventare intenso e fastidioso.






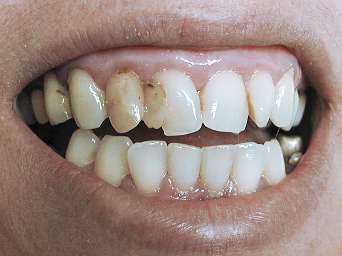
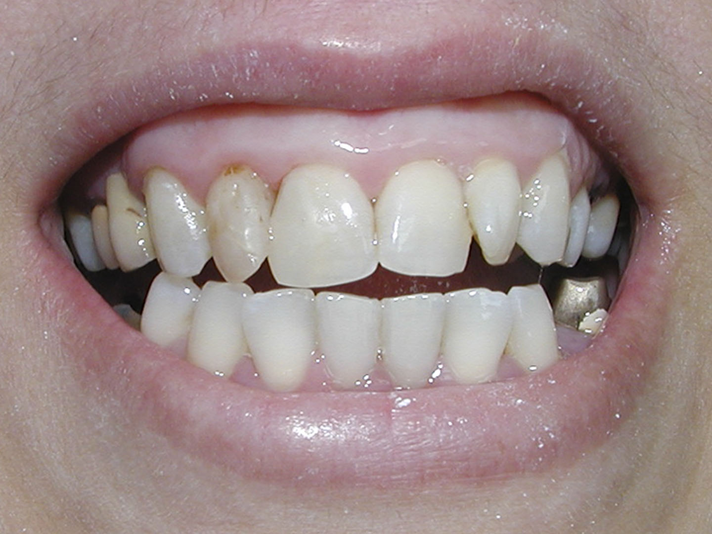
Prima e dopo il trattamento
Il sollievo di un sorriso sano
Il mal di denti è una delle cause più comuni di visita in studio.
Scopriamo insieme le carie in anticipo!
FAQ
Rispondiamo alle tue domande
Come posso prevenire le carie dentali?
Per prevenire le carie dentali, segui una dieta equilibrata limitando carboidrati e zuccheri, evita spuntini frequenti e distribuisci i pasti durante la giornata.
Mantieni una buona igiene orale con spazzolature regolari e visita il dentista almeno una volta all’anno per controlli e pulizie.
Risolvi tempestivamente problemi come denti mancanti, storti o protesi non funzionanti per evitare complicazioni future.
Qual è l'importanza di una buona igiene orale nella prevenzione delle carie?
Una buona igiene orale è fondamentale per prevenire le carie dentali.
Lavarsi i denti almeno due volte al giorno con un dentifricio al fluoro e utilizzare il filo interdentale aiuta a rimuovere la placca e prevenire l’accumulo di batteri che causano le carie.
La cura regolare dei denti riduce il rischio di carie e mantiene il sorriso sano.
Quanto spesso dovrei andare dal dentista per evitare problemi dentali?
È consigliabile visitare il dentista almeno una volta all’anno per un controllo completo e una pulizia professionale.
Questi controlli regolari aiutano a identificare e trattare precocemente eventuali problemi dentali, come le carie, prima che diventino più gravi e costosi da trattare.
Come posso sapere se ho una carie dentale?
I sintomi comuni delle carie dentali includono dolore durante la masticazione, sensibilità ai cibi e bevande caldi o freddi, e presenza di macchie scure sui denti.
Se noti questi segnali o hai dolore persistente ai denti, è importante consultare il dentista per una diagnosi accurata e un trattamento tempestivo.
Quali sono i rischi di non trattare le carie dentali in tempo?
Se le carie dentali non vengono trattate tempestivamente, possono peggiorare e causare dolore intenso, infezioni, e problemi di salute orale come gonfiore e difficoltà nella masticazione.
Anche masticare prevalentemente da un solo lato della bocca è indice di problematiche
Inoltre, la carie non trattata può portare alla perdita del dente e a costi maggiori per trattamenti più complessi in futuro.
Come posso migliorare la mia dieta per prevenire le carie?
Per prevenire le carie, riduci l’assunzione di cibi e bevande zuccherate e ricche di carboidrati, che possono contribuire alla formazione della placca.
Opta per alimenti sani come frutta, verdura, e proteine magre. Bevi molta acqua e limita il consumo di spuntini frequenti, che possono aumentare il rischio di carie.
